اكتشاف إبرة في دماغ امرأة عمرها يفوق 80 عاما يثير الدهشة والتعجب

اكتشاف إبرة في دماغ امرأة عمرها عشرات السنين يثير الدهشة والتعجب
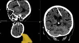
خبر اكتشاف إبرة في دماغ امرأة مسنة في الشرق الروسي، تُظهر حالة طبية غريبة أثارت الدهشة والتعجب. تفصيل هذا الحادث الطبي يعكس الجوانب المأساوية لتاريخ النزاع والحروب، خاصة خلال فترات الحروب العالمية.
هذه الحادثة تثير التساؤلات والأسئلة حول تأثير النزاعات العسكرية والحروب العالمية على الأفراد، وكيف يمكن للظروف القاسية أن تدفع الآباء إلى اتخاذ قرارات مأساوية تؤثر على حياة أطفالهم.
هناك تاريخ سوداوي يُرتبط بالإبرة التي عُثر عليها في دماغ المرأة. خلال حرب العالم الثانية، كانت الحروب والمجاعات سببًا في نقص الغذاء والفقر المدقع.

وفي هذه الفترة، لجأت العديد من الأسر إلى أفعال قاسية كمحاولة للتخلص من أطفالهم من أجل البقاء. تلك الإبرة كانت جزءًا من محاولة فاشلة للقضاء على هذه المرأة ولكنها نجت من الموت.
التحليل الطبي لهذه الحالة أظهر أن الإبرة داخل الدماغ لا تشكل خطرًا كبيرًا على حياة المريضة. رغم أن هذه الإبرة لديها تأثير فتاك، فهي تعكس معاناة الأشخاص الذين عاشوا في ظروف قاسية خلال تلك الفترة الزمنية.
في النهاية، تعد هذه القصة ليست سوى جزء صغير من تاريخ الحروب والمعاناة البشرية. وعلى الرغم من أنها قصة مروعة، إلا أنها تؤكد مدى قدرة البشرية على الصمود والبقاء حتى في أصعب الظروف.